[Picture]
MMP9 drives ferroptosis by regulating GPX4 and iron signaling (https://www.cell.com/iscience/fulltext/S2589-0042(24)01847-9?_returnUR)
[Picture]
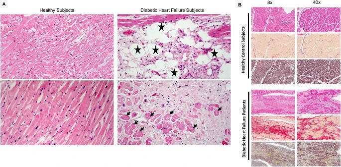
Regulation of cardiac ferroptosis in diabetic human heart failure: uncovering molecular pathways and key targets (https://www.nature.com/articles/s41420-024-02044-w)
Tailoring transfection for cardiomyocyte cell lines: balancing efficiency and toxicity in lipid versus polymer-based transfection methods in H9c2 and HL-1 cells
https://journals.physiology.org/doi/full/10.1152/ajpheart.00119.2024
Ironing out the details: ferroptosis and its relevance to diabetic cardiomyopathy
https://journals.physiology.org/doi/full/10.1152/ajpregu.00117.2023
https://journals.physiology.org/doi/full/10.1152/ajpregu.00117.2023
Guidelines for evaluating myocardial cell death
https://journals.physiology.org/doi/full/10.1152/ajpheart.00259.2019
https://journals.physiology.org/doi/full/10.1152/ajpheart.00259.2019